

Dental Implantsin Kingston, Jamaica
Dental implants will improve your appearance and change what you eat and how you eat it. They are the ultimate solution for replacing missing teeth.
What areDental Implants?
If you are missing teeth, you are most likely a candidate for dental implants to help you regain your beautiful, natural-looking smile!
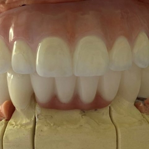
Dental implants are intended to be long-term replacements for lost teeth. They can last a lifetime if properly cared for with good oral hygiene and regular preventive care. A dental implant is made up of two major components: the implant post and the implant restoration. The implant post replaces your tooth root and performs the same activities to promote the health of your supporting bone and offer a strong foundation for your replacement, which could be a crown, bridge, or denture depending on your unique needs and the number of teeth lost.
The repair is custom-made to fit your smile comfortably and aesthetically, giving you a long-term solution for your smile.
Dental implants are intended to be long-term replacements for lost teeth. They can last a lifetime if properly cared for with good oral hygiene and regular preventive care. A dental implant is made up of two major components: the implant post and the implant restoration. The implant post replaces your tooth root and performs the same activities to promote the health of your supporting bone and offer a strong foundation for your replacement, which could be a crown, bridge, or denture depending on your unique needs and the number of teeth lost.
The repair is custom-made to fit your smile comfortably and aesthetically, giving you a long-term solution for your smile.

Office Hours
MONDAY - THURSDAY // 8:30 AM - 4:00 PM
FRIDAY // 8:30 AM - 1:00 PM
SATURDAY // 9:00 AM - 2:00 PM
FRIDAY // 8:30 AM - 1:00 PM
SATURDAY // 9:00 AM - 2:00 PM





